
Kronen und Brücken
Jeder einzelne Zahn hat seine „Aufgabe“ - im Zusammenspiel trägt er zu einem intakten und kraftvollen Gebiss bei.
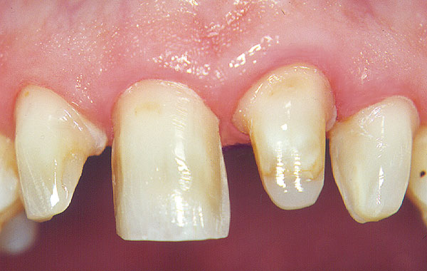
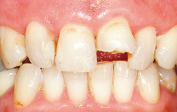
Bei einem defekten Zahn muss deshalb seine Funktionstüchtigkeit wieder hergestellt werden.
Wenn der Defekt für eine Füllung oder ein Inlay zu umfangreich ist, kann eine Krone oder Brücke den Zahn ersetzen.
Auch hier werden unterschiedliche Materialien eingesetzt, abhängig von der Lage und Form des betroffenen Zahnes.
Im Frontzahnbereich verwenden wir Zirkon, das ein ästhetisch perfektes Resultat erzielt. Im eher belasteten Seitenzahnbereich ist eine Unterkonstruktion aus Metall empfehlenswert, mit einer Verblendung aus Edelmetallen, Vollkeramik oder Keramik, farblich individuell abgestimmt für einen natürliches Aussehen.
Unser Ziel ist es, individuell auf Sie abgestimmten professionellen Zahnersatz auf höchstem Niveau zu bieten.






